晶緻生物|病理實驗室
From Tissue to Insight
關於我們
服務項目
為何選擇我們
知識專區
服務流程
成果展示
聯絡我們
未分類
2026 年 4 月 12 日
淋巴結 FNA · Case 07 轉移性皮脂腺癌:眼瞼腫瘤淋巴結轉移的罕見診斷
2026 年 4 月 12 日
唾液腺 FNA · Case 05 腮腺腺泡細胞癌:49% 誤診率與診斷關鍵
2026 年 4 月 12 日
唾液腺 FNA · Case 04 腮腺 Warthin Tumor:雙組分細胞學特徵與 Milan 系統
2026 年 4 月 12 日
甲狀腺 FNA · Case 03 甲狀腺濾泡性腫瘤:Bethesda IV、ROM 30% 與後續處置
2026 年 4 月 12 日
甲狀腺/副甲狀腺 · Case 02 甲狀腺 FNA 誤穿副甲狀腺:TBS 2023「Others」分類
2026 年 4 月 12 日
甲狀腺 FNA · Case 01 乳突狀甲狀腺癌(PTC)FNA 細胞學判讀
2026 年 4 月 12 日
Magnolol may contribute to barrier function improvement on imiquimod-induced psoriasis-like dermatitis animal model via the downregulation of interleukin-23
2026 年 4 月 12 日
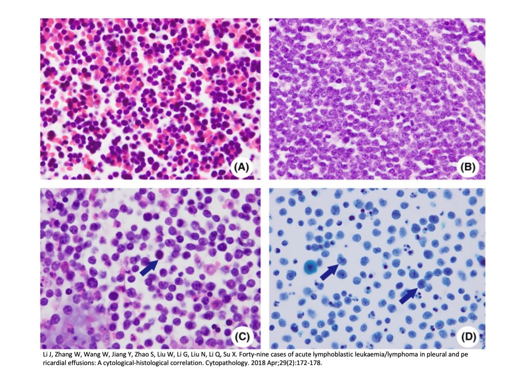
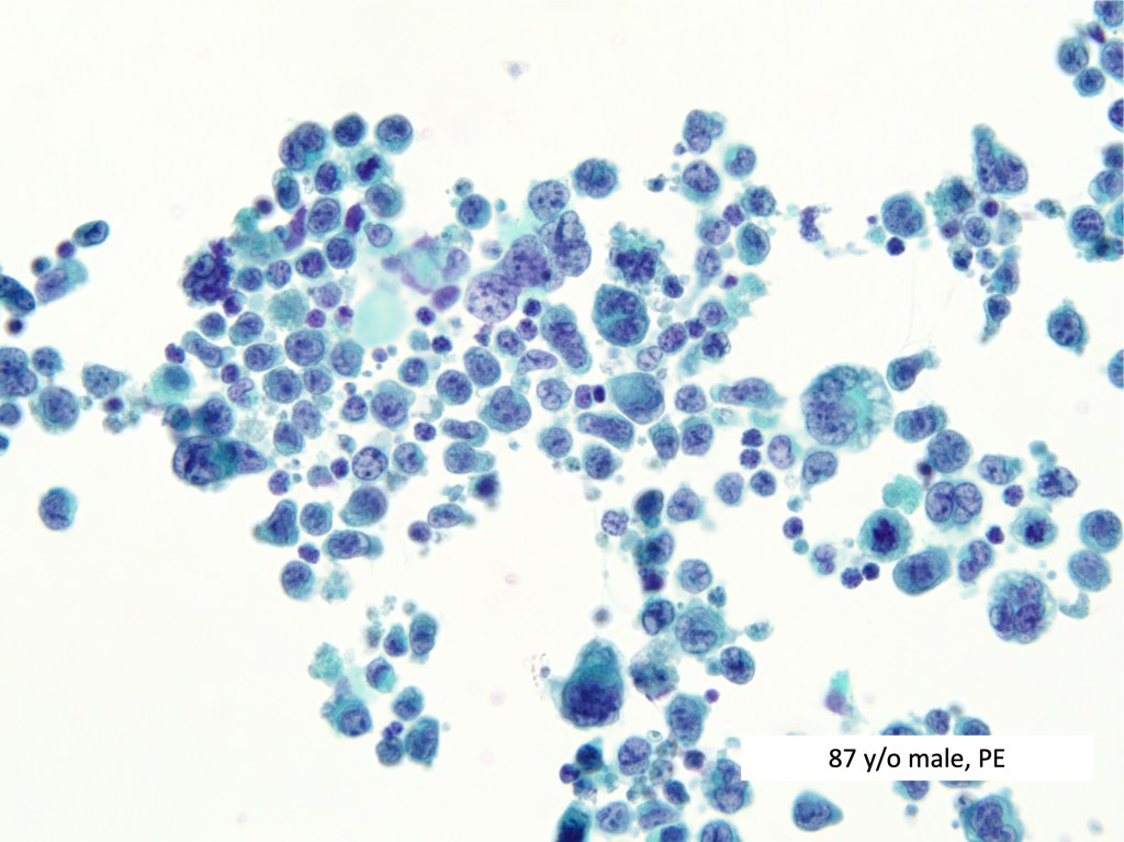
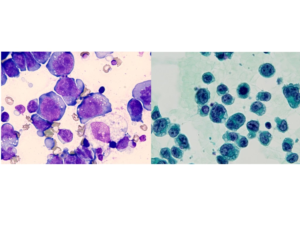
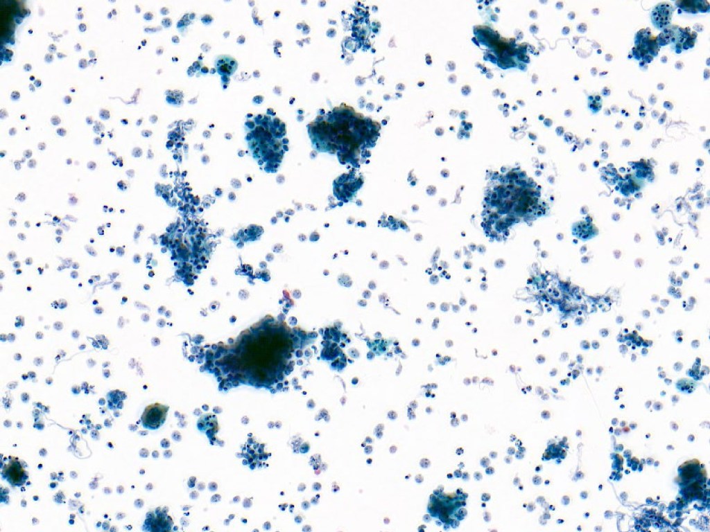
Published 3. Primary Effusion Lymphoma: A Timely Review on the Association with HIV, HHV8, and EBV
2026 年 4 月 12 日
Intestinal Mucosal Barrier Improvement with Prebiotics: Histological Evaluation of Longish Glucomannan Hydrolysates-Induced Innate T Lymphocyte Activities in Mice
2026 年 4 月 12 日
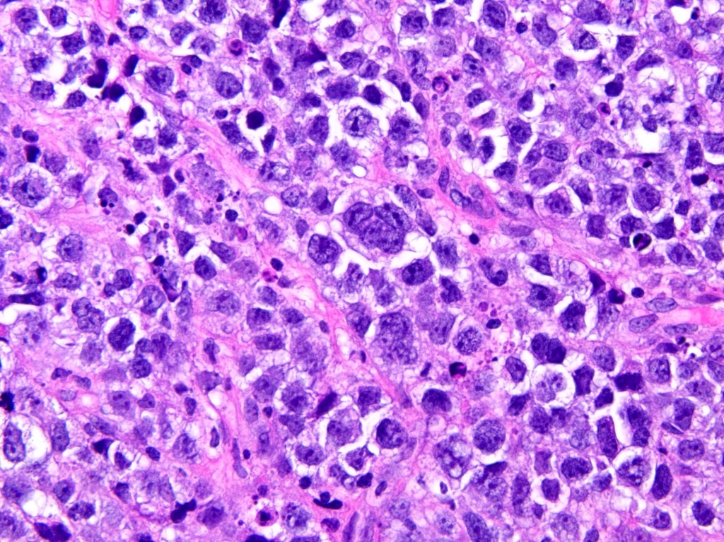
Course 4. Small Round Cell Pattern in Liquid-based Cytology
下一頁
→
載入迴響中...
發表迴響…
電子郵件 (必要)
名稱 (必要)
網站